向下滑动
探索更多
探索更多
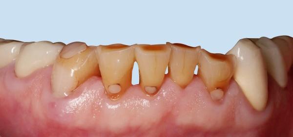
氧化锆贴面:主流的牙齿修复美白技术
牙齿贴面是在变色或缺损的牙齿表面粘接一层近似正常牙色的材料。受传统技术的限制,贴面不够薄,往往需要将牙齿磨小再粘接。“削足适履”带来不可逆的损伤,让许多有着修复需求的用户望而却步。
Venust皓昕创新采用专利2的超高精3D打印技术(PμSL面投影微立体光刻成型技术),贴面厚度突破性降至0.08毫米,几乎相当于一张A4纸。划时代的极薄使贴面针对诸多适应证可不磨牙直接粘接,开创美牙护齿的健康新选择。
贴面修复范围
客户评价









